Diagnostik im Oberlausitzer Gefäßzentrum
Gefäßzentrum
Kontaktinformationen
Kontakt
Krankenhaus Bautzen
Oberlausitzer Gefäßzentrum
Am Stadtwall 3
02625 Bautzen
Telefon (03591) 363-2117
Telefax (03591) 363-2325
Sprechstunden
Wir bitten um telefonische Voranmeldung:
Telefon (03591) 363-2117
Einweisersprechstunde Gefäßchirurgie
Oberarzt Dr. med. Herold Kuffner
Freitag 8.00 – 10.00 Uhr
Eine stationäre Behandlung im Krankenhaus erfordert einen Einweisungsschein eines Haus- oder Facharztes.

Radiologische Diagnostik von Gefäßerkrankungen
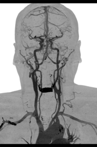
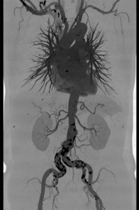
Computertomografie:
Für die Gefäßuntersuchung steht ein moderner 128-Zeilen-Computertomograf (Siemens Somatom Edge) zur Verfügung. Dieser kann bei einer räumlichen Auflösung von bis zu 0,3 mm kleinste Veränderungen nachweisen. Zur Darstellung der Gefäße wird dazu ein jodhaltiges Kontrastmittel verwendet, welches meist in eine Vene des Armes mit Hilfe einer Spritzenpumpe verabreicht wird. Die Untersuchung selbst dauert weniger als eine Minute.
Aus den dabei gewonnen Schnittbildern sind computergestützte 2D- und 3D-Rekonstruktionen aller Regionen des Gefäßsystemes herstellbar. Dieses Untersuchungsverfahren kommt in unserem Zentrum bei der Diagnostik – Erweiterungen der Bauchschlagader oder andere Gefäße, Durchblutungsstörungen aufgrund von Gefäßeinengungen oder Verschlüssen sowie der Therapieplanung und Therapiekontrolle – zum Einsatz. Einen wichtigen Stellenwert hat die Computertomografie auch bei allen akuten Gefäßerkrankungen und Gefäßverletzungen.
Magnetresonanztomografie:
Die Gefäßdarstellung erfolgt in einem modernen 48-Kanal-Magnetresonanztomografen (Siemens Area 48) der mit spezieller Hard- und Software für die Darstellung aller Gefäße des Körpers ausgerüstet ist. Dazu wird überwiegend ein gadoliniumhaltiges Kontrastmittel verwendet, welches meist über eine Armvene injiziert wird. Die Untersuchung dauert ca. 10 – 20 Minuten.
Neben der Erfassung von Veränderungen des Gefäßdurchmessers zur Beurteilung der Durchblutungsstörung, liefert uns diese Untersuchungsform auch wichtige Information zum Aufbau der Gefäßwände, zum Beispiel bei entzündlichen Gefäßerkrankungen und zum Nachweis von durchblutungsgestörtem Gewebe.
Für Patienten die aufgrund von Erkrankungen kein Kontrastmittel verabreicht bekommen dürfen, besteht durch eine spezielle softwaregestützte Untersuchungsmethode die Möglichkeit, eine Angiografie der Beine auch ohne Kontrastmittelgabe durchzuführen.
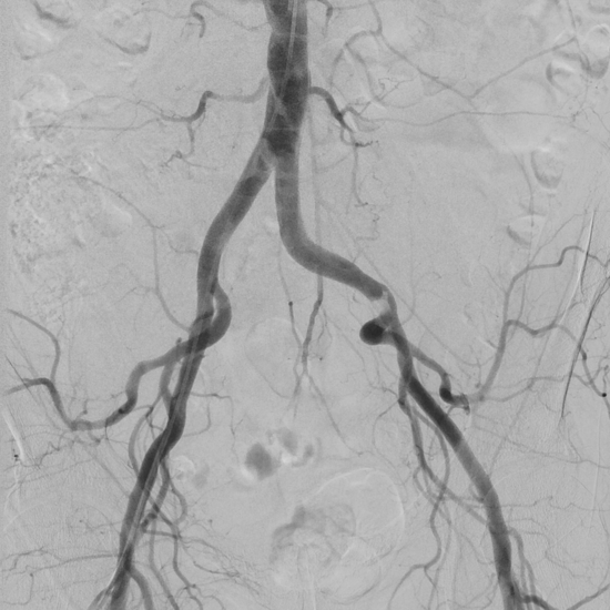
Digitale Subtraktionsangiografie:
Diese Untersuchungsmethode wird nur noch im Rahmen der Therapie oder bei unklaren durch andere Methoden erhobenen Befunden durchgeführt. Dazu wird nach Verabreichung eines Schmerzmittels eine Punktion der Oberschenkel- oder Armarterie durchgeführt und ein dünner Katheter in das Gefäß vorgeschoben. Über diesen Katheter erfolgt eine Kontrastmittelinjektion zur Darstellung der Gefäße. Ein spezielles Röntgengerät macht während der Injektion Aufnahmeserien des Blutflusses in dem zu untersuchenden Gefäßgebiet.
Was ist ein Kontrastmittel?
Bei Untersuchungs-Methoden unter Verwendung von Röntgenstrahlen (Gefäßdarstellung-Angiografie, CT) oder Magnetresonanz (MRT) sind Gefäße nicht darstellbar. Damit diese möglich wird, verabreicht man ein Kontrastmittel in das Gefäßsystem. Diese sind überwiegend gut verträglich. Es treten lediglich geringe Missempfindungen auf, insbesondere ein allgemeines oder lokales Wärmeempfinden.
Bei Patienten mit Erkrankungen der Nieren oder Schilddrüse sowie mit Allergien ist jedoch eine Kontrastmittelgabe nicht immer oder nur eingeschränkt möglich. In diesen Fällen muss man gegebenenfalls auf andere Methoden ausweichen (siehe auch Magnetresonanztomografie).













